استمع لكلمة زعيم الحو ثيين.. ماهو موقف طارق صالح من انضمام شقيقه للمحور الايراني؟ هل هو تبادل ادوار؟
شهدت مواقع التواصل الاجتماعي حالة سخط واسع وغير مسبوق عقب مشاركة يحيى محمد صالح نجل شقيق الرئيس الرا...
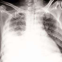
قال الدكتور وهاج المقطري:شاب ٢٤ عاما، اشتكى من ألم في صدره الأيمن منذ اسابيع، ظنه في البداية ألم عضلي بين الأضلاع، لكن مع مرور الأيام ازداد الألم وظهر عنده ضيق في التنفس فتوجه إلى أحد المستشفيات لإجراء الفحوصات،.
أظهرت الأشعة وجود تجمع سوائل في الجنب الأيمن فتم ترقيده وسحب السائل منه وأُعطي مضادات حيوية واسعة الطيف،، وتحسنت حالته لكن بعد أسبوع عاد الألم وضيق النفس من جديد،وأُظهرت الأشعة أن السوائل قد عادت الى صدره فطُلب منه إعادة سحب العينة لكنه رفض ثم جاء إلي..
كانت القصة غريبة،،!!
واضاف:
شاب سليم لا يعاني من أي من الأعراض الكلاسيكية للسل، ولم يشتكي من شئ طوال حياته، ونتائج فحص السل Mantoux و (QFT) وحتى PCR كانت سلبية وتحليل السائل الجنبي لم يظهر سل ولا خلايا سرطانية،،.!!
حين سألته هل في العائلة أحد مصاب بالسل، قال "مافيش، ولا أحد."،،لكن بعد قليل وانا اتناقش معه قال "الحمد لله انه الفحوصات ماطلعت سل، السل هذا خبيث، أمي توفت بسببه الله يرحمها،،!!
نظرت إليه بدهشة وقلت عادك قبل قليل لما سالتك قلت لي ما في أحد من أسرتك أصيب بالسل!؟، قال "انا قصدي اللي عايشين معي أما أمي ماتت وأنا طفل قبل عشرين سنة..!!
وهنا استغرقني التفكير كثيرا!!
والحقيقة لست ادعي انني كنت ساطلب منه القيام باجراء خزعة جنبية (وهو الفحص ذو أعلى عائد تشخيصي في هكذا حالات) للتأكد اكثر من السل لولا انه قال ان والدته ماتت بالسل،،زاد دافعي أكثر علمي بان السل الجنبي احد اصعب الحالات تشخيصا فحتى فحص PCR قد يفوت التشخيص بسبب مايعرف ب (paucibacillary nature)،، فطلبت منه فورا اجراء خزعة جنبية وأقنعته بصعوبة بضرورة اجراءها..!!
واختتم:
ثم جاءت النتيجة بعد فترة إيجابية بوضوح مؤكدة إصابته بالسل الجنبي (Pleural tuberculosis) رغم سلبية كل الفحوصات السابقة،، وتم تحويله إلى مركز الدرن وبدأ بالعلاج الخاص بالسل وفي غضون شهر ونصف بدأ التحسن يظهر عليه بوضوح..!!
#في السل، قد تحدث عدوى كامنة لدى من احتكوا مباشرة بمريض مصاب ثم بعد مرور سنوات طويلة وظهور أي عامل(فيسيولوجي،باثولوجي،نفسي) قد يضعف المناعة تنشط تلك البؤر الكامنة ولو بعد حين،، ولذلك امام مريض يشتكي من عرض ما قد يحدثه السل فان اصابة أحد أفراد أسرته المحتكين معه حاليا ام قديما بالسل لابد ان يفتح الباب على مصراعيه للاشتباه بقوة باصابته بالسل والاستقصاء أكثر بين دهاليز الفحوصات والتقييم السريري..!!
#وهاج_المقطري